小児矯正
orthodontics
小児矯正は、顎の骨や筋肉の成長を利用して、顎の発育をサポートすることを目的としています。一般的に、永久歯が生え揃う6歳から12歳頃が対象です。
小児矯正には、歯がまっすぐ並ぶように顎のスペースを広げたり、歯が自然に生えるように誘導したりするなど、さまざまな治療法があります。
お子様の口腔内の状態や成長段階に合わせて、適切な方法をご提案いたします。
子どもの歯並びが悪い原因は遺伝だけではなく
癖や習慣が大きく影響
お子様に気になる症状は
ありませんか?
- 歯ぎしりがある
- 指しゃぶりが治らない
- いびきが出ている
- 歯科検診で歯並びを指摘された
- いつの間にか口が開き、口呼吸になっている
- 前歯に隙間があったり、斜めで出っ歯気味
歯の乱れを放置すると
不正咬合に
成長段階の子ども達の歯ですが、放置していても現在の乱れが目立たなくなる可能性が全くないわけではありません。しかし、自然に治るケースはほとんどなく、逆に口呼吸・歯ぎしり・いびき・指しゃぶり・受け口などといった症状を放置することによって、悪化する可能性の方が高くあります。
理由は歯並びが乱れた原因が必ずあるからで、その原因を改善することで正しい歯並びへと導くことができます。
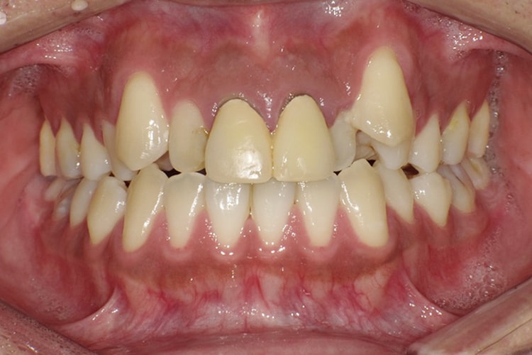
矯正が必要になる
不正咬合の一覧
-

受け口(反対咬合)
下の歯が上の歯よりも前にでており、咬み合わせが通常とは逆になっている状態。
-

深い噛み合わせ(過蓋咬合)
奥歯を咬み合わせた際に、上の前歯で下の前歯が隠れてしまうくらい咬み合わせが深い状態。
-

叢生(乱くい歯)
歯がデコボコに生えている状態で、八重歯などもこれにあたります。
-

開咬(かいこう)
奥歯を咬み合わせても、上下の前歯の間に隙間が空いてしまう状態。
-

すきっ歯(空隙歯列)
歯と歯の間に隙間がある状態。成長過程で誰でも生じるものとそうでないものがあります。
-

出っ歯(上顎前突)
上の歯が下の歯よりも前方に突出した状態。もしくは下の歯が後ろに入っている状態。
歯並びが悪化する原因を
治すことが大切

現在主流となっている子どもの矯正方法は“乱れた歯並びを正しく整える治療”で、歯が悪くなってしまった結果へアプローチしています。しかし、当院は結果ではなく原因へアプローチをおこなうことが大事だと考えています。
歯並びが悪くなる前、もしくは悪くなっている状態でも子どもの時期であれば、原因を解決することで正しい歯並びへと導くことができます。
子ども用のマウスピース歯科矯正~プレオルソ矯正
痛みが少ない・後戻りしにくい・ワイヤー不要

プレオルソとは小児矯正の治療方法の一種で、マウスピース型の矯正装置を使ってお子様の骨格の成長を促し、永久歯を正しい生え方へと導いていきます。対象となる年齢は、永久歯が全て生え揃っていない状態の3~11歳前後(個人差あり)となり、骨格がまだ出来上がっていない成長段階の状態で行うことが効果的です。
治療の内容は、歯並びの悪化につながる癖(口呼吸・飲み込み・舌の癖など)をマウスピースで治し、トレーニングで正しい口の使い方を身に着けていきます。
これにより、歯並びが悪化する原因を改善し、結果歯並びを正すことができます。また、強制的に歯を動かさないので、痛みが少なく、抜歯もほぼなし。さらに、骨格が正しく成長しているため後戻りもしにくくなっています。
プレオルソ矯正の治療方法
-

マウスピース
プレオルソ矯正で使用するマウスピース型矯正装置。舌や口周りの筋肉を鍛え、悪癖を治すことを目的としています。
-

トレーニング
マウスピースの使用に加え、正しい呼吸方法や口、舌の使い方を身に着けるためのトレーニングを行います。
プレオルソ矯正に使用する
マウスピースの装着時間
-

日中に1~2時間の装着
日中の装着時間は1~2時間のみ。家にいる間だけの装着でいいので、学校では矯正器具を気にせず過ごすことが出来ます。
-

就寝時に装着
日中に加えて、寝ている間の装着も必要です。就寝時でいいため、装着のストレスも少ないです。
プレオルソ矯正の
メリット・デメリット
Merit
メリット
- ワイヤー矯正に比べて痛みが少ない
- 抜歯のリスクが少ない
- 歯並びだけでなく全身の健康へ繋がる
- 学校に矯正装置をはめていく必要がない
- 口呼吸・歯ぎしり・いびきなども改善することができる
Demerit
デメリット
- 継続したトレーニングが必要で、家族の協力が必須
- 保険の効かない自費診療となる
矯正方法の比較
スクロールできます
| 矯正の種類 | ワイヤー矯正 | プレオルソ矯正 |
|---|---|---|
| 装置 |
|
|
| 特徴 |
|
|
| 欠点 |
|
|
| 痛み |
|
|
| 抜歯 |
|
|
| 後戻り |
|
|
プレオルソ矯正の料金
-
矯正費用
(器具を全て含む)¥55,000~440,000治療期間・回数/半年~2年程度・6〜24回程度
※上記治療期間・回数は、あくまで目安です。患者様の状態によって変動いたします。
※料金はすべて税込です。
小児矯正のよくある質問
-
Q
プレオルソ矯正は本当に痛くないですか?
-
A痛みを感じることはほぼありません。ただし、稀に痛みを訴えるお子様もいます。ただ、そういった場合も最初の数日のみで、しばらく装着していると痛みがなくなることがほとんどです。当院では痛さで途中で辞めてしまったということはありません。もし、痛みが強い場合はお気軽にお伝えください。
-
Q
子どもが寝ている時のいびきが気になります。
-
Aいびきの原因はいくつかありますが、ほとんどの場合は口呼吸が関連していると言われます。口呼吸はそのままにしていると免疫力の低下や虫歯など様々なことに繋がります。プレオルソ矯正では歯並びはもちろん、正しい口の使い方を身につけるトレーニングで口呼吸の改善も行うため、いびきなどの解消にも繋がります。
-
Q
プレオルソ矯正の器具の装着時間はどれくらいですか?
-
A基本的には起きている間の1時間と就寝中の装着となります。そのため、学校に装着していく必要もなく、食事や運動、歯磨きの際にストレスがありません。
-
Q
マウスピースの装着だけで歯並びは良くなりますか?
-
Aマウスピースと合わせてトレーニングを行うことで歯並びの改善を目指します。マウスピースで悪癖を正し、トレーニングによって口周りの筋肉を発達させることが重要です。
-
Q
矯正はいつ頃始めるのがいいのでしょうか?
-
Aできるだけ早い段階が理想です。プレオルソ矯正自体は3~10歳前後が対象になりますが、早い時期からの取り組みが大切です。
子どものいびきや歯ぎしり、
出っ歯や受け口などが気になったらご相談ください

矯正は気になった時が始め時です。
当院で子供の矯正を始めた一番の理由は、歯を抜きたくないから、ただそれだけです。
大人の歯に生え変わって行う矯正は、歯の並ぶスペース不足の解消のため、真ん中の歯を必要に応じて4本抜歯することがあります。それによって口の中のボリュームが小さくなり、結果呼吸に影響することがあります。例えば、いびきをかきやすくなったり。それは、長い目で見た時に体に優しくないと考えます
一方、子供の歯から大人の歯への交換時期は顎の発育時期ですので、歯のスペースを確保しやすいです。そのスペースが追いついていない場合、矯正の力を借りるのがよいでしょう。
この時期の矯正は、本人のやる気はもちろん、親御さんの協力が必須です。そのため、成人矯正よりも安価に矯正治療に取り組めます。
歯は一生のお付き合いです。今少しでも気になっていることがあれば、是非すぐにご相談ください。適切な時期に適切なアプローチをしていきましょう。
お電話・WEBでお気軽にご連絡ください。
- 受付時間
-
9:00~13:00/14:30~19:00
(土曜のみ14:00~17:00) - 休診日
- 日曜、祝日
